外泌体蛋白分析的标准方法
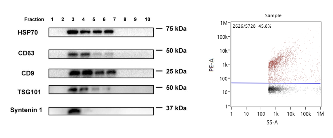
使用蛋白质印迹、流式细胞仪、ELISA或质谱技术对外泌体所携带的蛋白标志物进行检测是目前外泌体研究的经典方法。
纳米流式检测技术通过抗体标记即可检测单个外泌体颗粒的内源性或外源标记的荧光信号。
Western blot是通过抗原抗体特异性结合的原理,对外泌体标志蛋白进行检测,从蛋白质组学方面对外泌体进行鉴定,常见外泌体蛋白指标有CD9、CD63、CD81、Tsg101、Calnexin、Alix等。


设备名称:电泳槽
设备型号:Mini-PROTEAN® Tetra
制造商:美国伯乐公司
技术参数:
凝胶数:1–4
预制胶:Mini-PROTEAN® 预制胶
手灌胶:使用 Mini-PROTEAN 玻板灌制
凝胶尺寸(宽x长):预制:8.6 x 6.8;手灌:8.3 x 7.3
SDS-PAGE典型运行时间:35–45 分钟(在 200 V 恒定电压下)
推荐的电源:PowerPac™ Basic或PowerPac HC(大电流)
地 址:厦门市海沧区翁角西路生物医药产业园B2号楼1001
邮政编码:361000
电 话:0592-5792117
传 真:0592-5792117
手机:13599994885
邮 箱:info@ncell.com.cn
投诉邮 箱:info@ncell.com.cn